看診時間 9:00-21:00
預約專線03-426-2888
/
諮詢專線0800-812-888
關於維多麗
維多麗介紹
診所環境
專業設備
醫療團隊
蔣文政 院長
游豐燦 副院長
周佩燕 主治醫師
張光萱 主治醫師
宋耀東 主治醫師
戴志翰 主治醫師
陳依涵 主治醫師
陳建鋒 主治醫師
陳瑋旻 主治醫師
吳文哲 主治醫師
醫療項目
舒眠兒牙
冷光美白
舒適植牙
全瓷牙冠
隱形矯正
人工植牙
全口重建
齒颚矯正
根管治療
雷射治療
牙周雷射
實際案例
3D齒雕案例
全瓷冠案例
美白案例
人工植牙
3D電腦斷層微創植牙
雷射微創植牙
立即微創植牙
全口植牙重建
前牙美學植牙
傳統補骨植牙
上頷竇微創增高手術
嚴重骨脊萎縮增寬手術
角質化牙齦增生手術
銀髮族植牙
挽救失敗植牙
舒眠植牙
門診時間
最新消息
Overseas
關於維多麗
維多麗介紹
診所環境
專業設備
醫療團隊
蔣文政 院長
游豐燦 副院長
周佩燕 主治醫師
張光萱 主治醫師
宋耀東 主治醫師
戴志翰 主治醫師
陳依涵 主治醫師
陳建鋒 主治醫師
陳瑋旻 主治醫師
吳文哲 主治醫師
醫療項目
舒眠兒牙
冷光美白
舒適植牙
全瓷牙冠
隱形矯正
人工植牙
全口重建
齒颚矯正
根管治療
雷射治療
牙周雷射
實際案例
3D齒雕案例
全瓷冠案例
美白案例
人工植牙
門診時間
最新消息
Overseas
關閉
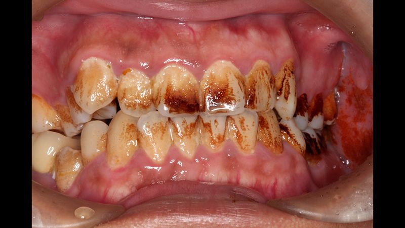
美白案例2
首頁
/
實際案例
/
美白案例
/
美白案例2
聲明: 本所療程皆由專業醫生評估後,依照個人口腔狀況進行治療。因每位患者個別狀況不同,術後狀況也不盡相同,需親來本所由醫生評估。
Share
Designed by
GTUT
Site Map
Privacy Policy
本站最佳瀏覽環境請使用 Google Chrome、Firefox 或 Edge 以上版本
禁止任何網際網路服務業者轉錄本網站資訊之內容供人點閱
×