牙周病患者全口植牙重建
病患:五十歲男性。
主訴 :一般診所建議做活動假牙,尋找植牙診所。
診斷:
病患全口嚴重牙周病,進行植牙及全口重建。
治療計劃:
- 全口牙周病治療。
- 全口植牙重建。
- 補骨與鼻竇增高手術。
主治醫師:戴志翰醫師
1. 治療前X光片,多處缺牙及嚴重牙周破壞。

2. 治療前,口內照片。

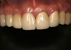
3. 經過一年多牙周病治療與人工植牙重建病患恢復了完整的牙齒。


4. 病患最終X光片。

5. 治療前VS.治療後。


6. 病患恢復自信笑容。

聲明: 本所療程皆由專業醫生評估後,依照個人口腔狀況進行治療。因每位患者個別狀況不同,術後狀況也不盡相同,需親來本所由醫生評估。




