看診時間 9:00-21:00
預約專線03-426-2888
/
諮詢專線0800-812-888
關於維多麗
維多麗介紹
診所環境
專業設備
醫療團隊
蔣文政 院長
游豐燦 副院長
周佩燕 主治醫師
張光萱 主治醫師
宋耀東 主治醫師
戴志翰 主治醫師
陳依涵 主治醫師
陳建鋒 主治醫師
陳瑋旻 主治醫師
吳文哲 主治醫師
醫療項目
舒眠兒牙
冷光美白
舒適植牙
全瓷牙冠
隱形矯正
人工植牙
全口重建
齒颚矯正
根管治療
雷射治療
牙周雷射
實際案例
3D齒雕案例
全瓷冠案例
美白案例
人工植牙
3D電腦斷層微創植牙
雷射微創植牙
立即微創植牙
全口植牙重建
前牙美學植牙
傳統補骨植牙
上頷竇微創增高手術
嚴重骨脊萎縮增寬手術
角質化牙齦增生手術
銀髮族植牙
挽救失敗植牙
舒眠植牙
門診時間
最新消息
Overseas
關於維多麗
維多麗介紹
診所環境
專業設備
醫療團隊
蔣文政 院長
游豐燦 副院長
周佩燕 主治醫師
張光萱 主治醫師
宋耀東 主治醫師
戴志翰 主治醫師
陳依涵 主治醫師
陳建鋒 主治醫師
陳瑋旻 主治醫師
吳文哲 主治醫師
醫療項目
舒眠兒牙
冷光美白
舒適植牙
全瓷牙冠
隱形矯正
人工植牙
全口重建
齒颚矯正
根管治療
雷射治療
牙周雷射
實際案例
3D齒雕案例
全瓷冠案例
美白案例
人工植牙
門診時間
最新消息
Overseas
關閉
前牙美學植牙
首頁
/
實際案例
/
人工植牙
/
前牙美學植牙
前牙美學植牙
前牙區的缺牙處或是牙根斷裂處,經過專業植牙醫師評估後,病患可於當天植牙手術後立即裝上假牙,讓前牙美...
MORE
前牙美學植牙
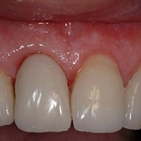
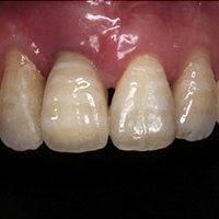
病患:30歲小姐,不滿意其他診所做完假牙後,微笑時牙齒歪斜,牙齦高低不對稱,假牙過白。戴志翰醫師負責...
MORE
前牙美學植牙
王先生,33歲 於長島牙科進行3D電腦斷層植牙 醫師:戴志翰醫師...
MORE
Designed by
GTUT
Site Map
Privacy Policy
本站最佳瀏覽環境請使用 Google Chrome、Firefox 或 Edge 以上版本
禁止任何網際網路服務業者轉錄本網站資訊之內容供人點閱
×