
中壢牙齒美白推薦—維多麗牙醫
維多麗牙醫深知,許多人都有喝茶、喝咖啡的習慣,因此牙齒容易泛黃,牙齒顏色不均等,造成無法自信的在鏡頭前開懷大笑!
為了幫助中壢地區的居民重拾迷人的自信笑容,維多麗牙醫提供專業的中壢牙齒美白療程,透過專業的冷光美白治療,除去牙齒上的污漬與黃斑,幫助您的牙齒恢復到原本的齒色,快速遠離黃板牙、讓您感受前所未有的潔白貝齒,再也不怕面對鏡頭!
什麼是冷光美白?
冷光美白是透過特殊低溫冷光源照射牙齒表面上的美白劑,讓美白劑與牙齒表面的深層色素產生氧化還原的作用,使牙齒恢復潔白與光澤感,牙齒美白的效果因人而異,為目前牙醫界公認安全又有效的專業牙齒美白技術。
冷光的好處
冷光牙齒美白的原理是用的發光二極體是不會產生熱,所以叫做冷光。
因為冷光牙齒美白不會使用到用雷射或電漿,故不會因長時間的高溫,對牙髓神經造成傷害,也不會使牙齦發炎,是相當溫和的中壢牙齒美白療程。

維多麗中壢牙齒美白特色
美白成效
(齒色全部共有20色階,持續接受完整療程,即能達到理想的齒色)
效果自然有透明感
溫和低敏感
冷光一次照射完成,
放鬆不受打擾
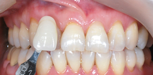
牙齒美白案例分享

治療前-原齒色C4色階

治療後-齒色達到A1色階

治療前-齒色A3色階

治療後-齒色達到A1階

治療前-齒色A3色階

治療後-齒色改變為B1色階
聲明: 本所療程皆由專業醫生評估後,依照個人口腔狀況進行治療。因每位患者個別狀況不同,術後狀況也不盡相同,需親來本所由醫生評估。




