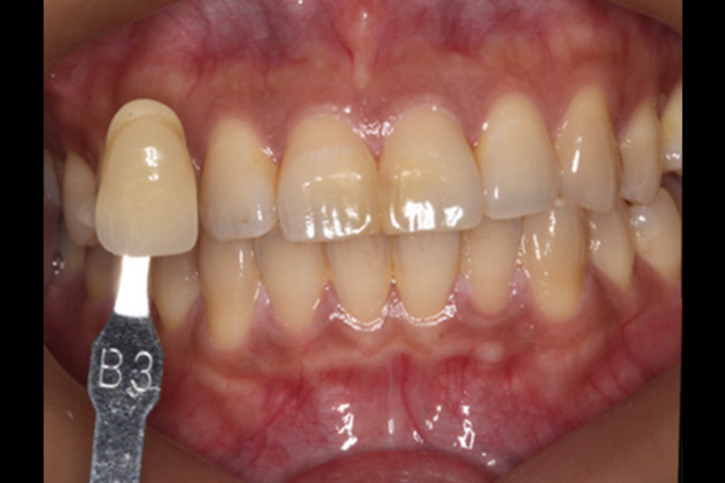
治療前
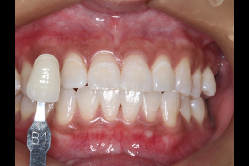
治療後
✨親愛的貴賓您好✨為提供更完善的服務,維多麗牙醫診所官方LINE帳號已正式啟用。※ 原帳號將於114年3月31日起停用。請加入維多麗牙醫診所的官方LINE,與我們聯繫並獲取最新消息。透過以下連結將官方帳號加入好友吧。https://lin.ee/gkGlxRSW🔔加入後請發送您的「姓名」及「出生年月日」給我們,我們才能與您對話及爲您備註名稱喔😊