關閉

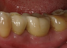
斷裂牙齒或是殘留牙根未有發炎反應的情況下,可以於當天立即拔牙立即植牙,不須再二次手術,大幅縮減等待裝牙時間並且讓手術傷口達到最小化。

proimages/Case/dentalimplant/03/03/laserteeth01.jpg

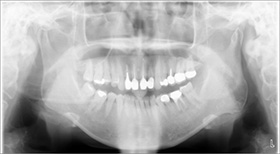
經X光片發現牙齒底部病變,評估建議立即拔牙且立即植牙

proimages/Case/dentalimplant/03/03/laserteeth02.jpg

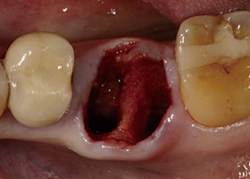
拔牙後傷口

proimages/Case/dentalimplant/03/03/laserteeth03.jpg

拔牙當天立即植體植入,傷口縫合

proimages/Case/dentalimplant/03/03/laserteeth04.jpg

8-12週後裝置假牙

proimages/Case/dentalimplant/03/03/laserteeth05.jpg

全瓷冠假牙裝置完成

 

聲明: 本所療程皆由專業醫生評估後,依照個人口腔狀況進行治療。因每位患者個別狀況不同,術後狀況也不盡相同,需親來本所由醫生評估。