補骨植牙及角質化牙齦手術
病患:64歲男性
主訴:右下牙橋鬆動,牙齦萎縮發炎。
診斷:
- 右下小臼齒牙根周圍破壞,骨頭嚴重流失。
- 右下後牙區,缺乏健康角質化牙齦。
- 舊牙橋鬆動,牙根蛀牙。
治療計劃:
- 移除右下搖晃之牙橋;牙周狀況嚴重之小臼齒拔除。
- 進行角質化牙齦移植手術及補骨手術。
- 缺牙處植入人工牙根,重新建立完整咬合功能。
主治醫師:戴志翰醫師

1.病患最初全口X光片。

2.病患右下排,治療前狀況。

3.照片顯示此區域牙周破壞嚴重。

4.移除牙橋與殘根,牙脊明顯萎縮。

5.牙脊萎縮處進行補骨手術。

6.完成補骨手術。

7.進行角質化牙齦移植手術。

8.牙齦手術完成。

9.完成補骨手術後的健康牙床。

10.植入人工牙根於健康的牙床。

11.配合手術導引板,精準植入理想位置。

12.完成一階段式手術。

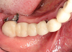
13.病患恢復健康牙周與牙齒。

14.病患恢復正常咬合功能。

15.治療完成之全口X光片。
聲明: 本所療程皆由專業醫生評估後,依照個人口腔狀況進行治療。因每位患者個別狀況不同,術後狀況也不盡相同,需親來本所由醫生評估。




