咬合重建
病患:63歲 女性
主訴:因缺牙影響咀嚼進食,且右下小臼齒動搖。
診斷:
下顎兩側後牙區長期缺牙,造成上顎臼齒持續往下生長,且右下小臼齒嚴重蛀牙,合併右上大臼齒嚴重牙周病。
治療計劃:
- 右下第一小臼齒及右上第二大臼齒拔除
- 分別左下植入兩顆、右下三顆人工牙根。
- 因左上及右上後牙假牙已不密合,並考量恢復上下顎咬合功能,故一併重新製作假牙。
主治醫師:吳建德醫師
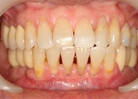
治療前全口x光片、口內照片


術前缺牙無法咀嚼


分別植牙後X光片


植牙後癒合狀況良好


假牙完成照


因植牙恢復正常咬合


治療後全口X光片、口內照片


聲明: 本所療程皆由專業醫生評估後,依照個人口腔狀況進行治療。因每位患者個別狀況不同,術後狀況也不盡相同,需親來本所由醫生評估。




