關閉

人工植牙與全口治療

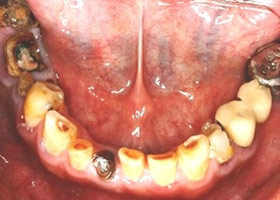
病患:55歲先生。
主訴:多顆缺牙,想全口治療。

診斷:

多顆缺牙、牙周病、多顆蛀牙。

治療計劃:

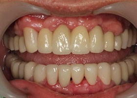
經由多顆人工植牙及全瓷假牙的全口重建,牙周病治療讓病人恢復咬合的功能與美觀,也易於每日的清潔保養。

主治醫師:張登信 醫師

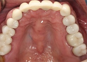
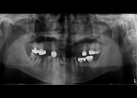
治療前

多顆缺牙及牙周病、蛀牙

proimages/Case/dentalimplant/10/02/before01.jpg
proimages/Case/dentalimplant/10/02/before02.jpg
proimages/Case/dentalimplant/10/02/before03.jpg

治療後

proimages/Case/dentalimplant/10/02/after01.jpg
proimages/Case/dentalimplant/10/02/after02.jpg
proimages/Case/dentalimplant/10/02/after03.jpg
proimages/Case/dentalimplant/10/02/after04.jpg
 

聲明: 本所療程皆由專業醫生評估後,依照個人口腔狀況進行治療。因每位患者個別狀況不同,術後狀況也不盡相同,需親來本所由醫生評估。